1. 神经外科简介
广西科技大学第一附属医院神经外科创建于1997年,是柳州地区最早建立的神经外科专科,医院重点建设科室、柳州市交通事故颅脑外伤救治定点医院。科室集医疗、教学、科研于一体,在颅脑损伤、脑出血、颅内肿瘤、功能神经外科及神经重症监护等领域形成显著特色。
神经外科设有一个独立的神经外科重症监护病房(NICU),共8张病床,提供24小时特护服务,开放床位35张。科室现有医护人员29人,其中医师高级职称3人,占比达40%,团队层次结构合理,专业技术扎实,完全胜任各类神经外科诊疗工作。
科室年手术量持续领先,最早在桂中地区开展颅脑损伤、脑出血、颅内肿瘤及椎管肿瘤等手术,技术实力和疗效赢得广泛认可。

【科室服务宗旨】
精准微创,守护生命。
【科室人员】
神经外科现有医师高级职称3人,主治及住院医师多名,护理团队经验丰富。团队年龄结构合理,技术力量雄厚,服务意识强。
2. 神经外科的科室特色有哪些?
内镜技术

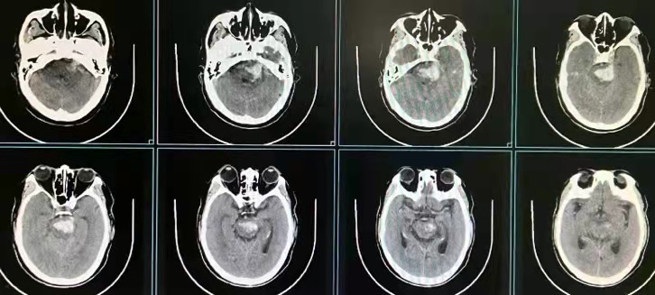
脑干血肿清除术前CT
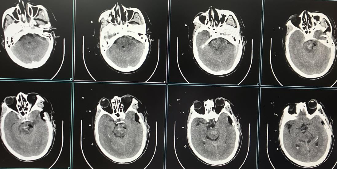
脑干血肿清除术后CT
开展经鼻蝶手术治疗垂体瘤、颅咽管瘤、鞍结节脑膜瘤等;3D辅助内镜脑内血肿清除术;脑干血肿内镜清除术等。
介入技术

颅内巨大动脉瘤栓塞术(血流导向装置置入)

术前 术后
颅内动静脉畸形栓塞术
独立开展颅内动脉瘤、动静脉畸形、动静脉瘘、外伤性颈内动脉海绵窦瘘等介入栓塞治疗,已完成700余例,疗效显著。
显微技术


荧光素钠肿瘤染色技术切除脑部恶性肿瘤
动脉瘤显微夹闭、动静脉畸形切除、胶质瘤、听神经瘤、脑膜瘤等显微手术,高血压脑出血血肿清除术。
功能神经外科技术

联合机器人脑深部电刺激术(DBS)治疗帕金森病
神经电生理技术:脑深部电刺激术(DBS)治疗帕金森病;脊髓电刺激术(SCS)用于促醒、卒中后偏瘫、顽固性疼痛等。

微血管减压治疗面肌痉挛
微血管减压术(MVD):治疗三叉神经痛、面肌痉挛。
神经重症监护技术
有创颅内压监测、脑灌注压监测、有创动脉压监测、呼吸机支持、纤支镜肺灌洗、镇静镇痛、亚低温治疗等,24小时全程护理。
3.神经外科专家介绍
李松年,神经外科主任、大外科主任(兼),主任医师,硕士研究生

广西医学会神经外科分会委员及神经介入组组员,广西医师协会神经外科分会委员、神经介入委员,广西抗癌协会神经肿瘤专业委员会委员,柳州市医学会神经外科分会副主任委员,柳州市脑损伤质控委员会副主任委员。先后到天津市环湖医院、广西医科大学第一附属医院、南方医科大学附属珠江医院进修,奥地利维也纳多瑙医院神经外科访问。
擅长:颅脑脊髓肿瘤、面肌痉挛、三叉神经痛、脑积水、高血压脑出血及颅脑创伤的诊断和手术治疗,尤其是擅长包括颅内动脉瘤、脑(脊髓)动静脉畸形及硬脑膜动静脉瘘等脑脊髓血管疾病的神经血管介入诊疗技术。
池超超,外科第四党支部书记、神经外科副主任、副主任医师

广西医师协会神经外科分会内镜委员会委员,广西医学会显微外科学分会委员,柳州市医学会神经外科分会委员,柳州市脑损伤质控委员会委员,柳州市医学会显微外科分会委员,柳州市预防医学会癫痫分会委员。先后到首都医科大学附属天坛医院、复旦大学附属华山医院进修学习,多次参加颅脑解剖培训班。
擅长:熟练掌握颅脑损伤、脑血管疾病、颅脑肿瘤、功能神经外科、神经重症等疾病的诊治,熟练掌握颅脑解剖及开颅手术入路。尤其擅长显微镜、神经内镜技术在神外高级别手术的应用,1.颅脑肿瘤(胶质瘤、脑膜瘤、垂体瘤、听神经瘤等);2.脑血管疾病 (颅内动脉瘤、海绵状血管瘤、脑内动静脉畸形等):3高血压脑干出血;4.颅神经微血管减压术。
周元鼓,副主任医师

擅长:自发性脑出血内镜微创治疗、显微镜下微创开颅、颅脑外伤综合救治,熟练掌握神经外科常见疾病诊断及手术治疗。