1、科室简介

广西科技大学第一附属医院普外科二病区是中国肿瘤器官保护联盟甲状腺分层保护联盟常务理事单位,广西门静脉高压症专科联盟常务理事单位,广西甲状腺疾病联盟成员单位。普外科二病区是国家住院医师规范化培训基地,是集临床、教学、科研、预防、健康服务为一体的高水平专业型学科。
科室由肝胆脾胰外科、甲状腺外科组成,拥有病床24张。以医学最新的快速康复理念引领科室发展建设,大力开展肝脏肿瘤微波消融术、胆道镜下钬激光碎石技术、肝动脉化疗栓塞术、腹腔镜下肝叶切除术、腹腔镜下胆囊切除术、腹腔镜疝修补术、甲状腺各类复杂及高难度手术,甲状腺功能亢进症、甲状腺癌规范化治疗、腔镜下甲状腺手术、甲状腺微波消融术、甲状腺术中喉返神经监测、等达到先进水平。
【科室人员】
学科人才储备充足,科室共有医护人员17人,高级职称3人,中级职称1人,初级职称13人。
2、普外二病区特色
肝肿瘤微波消融
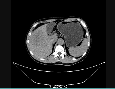
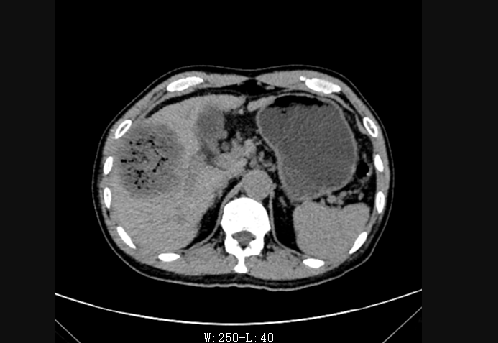
运用冷循环微波技术,在超声设备的引导下,以直径1.4毫米的探针精准刺入肝肿瘤,发出高频微波,在不损伤正常组织的情况下,让病变组织产生生物高热效应,使肝肿瘤组织在热凝过程中脱水、凝固、凋亡、坏死。
肝肿瘤微波消融治疗优点:1.微创一具有微创、痛苦少、安全性高的特点,术后恢复快。2.高效一该技术的有效性、总生存率与传统手术效果一致。3.精准一具有精确定位、原位灭活。4.可重复性。一般情况下肿瘤患者术后复发,受患者意愿、再次手术的难度和高风险等因素影响,能够接受再次手术的少之又少,而肿瘤微创消融技术可以反复、多次治疗,再次手术仍可能达到肿瘤完全消融的目标。

术前

术后
腹腔镜、胆道镜下钬激光胆道碎石
肝内结石并胆管狭窄以高残石率、高复发率、高再次手术率成为我国胆道外科治疗难题。本科室开展胆道镜下钬激光碎石术具有更好的取石效果,适合结石大,网篮套不住结石的胆道结石患者,具有直观、结石清除效果明显、再次手术率低、且能够降低术后并发症风险、缩短住院时间等优点,是治疗复杂性胆道结石的一种安全,有效的新技术。


肝动脉化疗栓塞术
通过在患者的大腿根部股动脉进行穿刺,使用数字减影血管造影机的透视功能,连接导管到肝脏的肿瘤处,将抗癌药物和栓塞剂透过导管输入体内。有利于直接杀死肿瘤细胞,并且能够阻断肿瘤的血供,致使肿瘤细胞死亡。肝动脉化疗栓塞术对于肿瘤有直接的作用,但是对于肝组织的血管影响会比较小,极大的减少了肝癌患者的治疗副作用。

术前

术后
甲状腺结节微波消融术
运用冷循环微波技术,在超声设备的引导下,以直径1.4毫米的探针精准刺入甲状腺结节,发出高频微波,在不损伤正常组织的情况下,让病变组织产生生物高热效应,使结节、囊肿组织在热凝过程中脱水、凝固、凋亡、坏死,最后被机体自然吸收或排出,从而达到治愈甲状腺部位结节、肿块的目的,具有创伤小、时间短、不留疤痕、安全精确,术后无颈部活动障碍及吞咽不适的优点。可以很大程度地避免因甲状腺周围血管、神经等重要组织器官损伤而导致出血、声音嘶哑等并发症,是世界卫生组织推荐的甲状腺良性病灶微创治疗技术。


腔镜下甲状腺手术
腔镜甲状腺手术非常巧妙,把原来颈部的切口缩小,并转移到更隐蔽的部位,如:经腋窝、口腔、胸乳等部位,开2-3个0.5- 1厘米的小口,颈部不会留下任何疤痕。具有损伤小,恢复快,不留疤痕,美观等特点。

3、专家介绍
胡春格,普外科二病区主任,副主任医师

专长:微创手术、甲状腺外科、乳腺外科、普通外科、肿瘤外科诊疗。在甲状腺疾病、乳腺疾病诊疗方面有丰富经验。尤其是在甲状腺癌规范化治疗方面及腔镜甲状腺手术、甲状腺及肝肿瘤微创消融介入手术方面具有熟练的操作技能。参与多项广西科研课题研究,发表多篇论文。现任中国肿瘤器官保护联盟甲状腺分层保护联盟常务理事,广西柳州市医学会乳腺甲状腺外科学分会委员,柳州市医学会中西医结合乳腺甲状腺外科学分会委员,广西抗癌协会甲状腺肿瘤专业委员会委员,广西抗癌协会甲状腺肿瘤专业委员会青年委员会委员,广西医学会微创外科委员会委员,广西医学会肝癌专业委员会委员,广西医师协会微无创医学分会委员会委员。参与多项广西科研课题研究,撰写多篇论文在省级、国家级及核心期刊杂志上发表。
甄宏云,副主任医师

专长:微创外科,腹腔镜行胆囊摘除术、胆总管切开取石、疝修补、甲状腺切除、肝叶切除,胰十二指肠手术、脾切除等手术。在核心期刊发表论文2篇,在省级发表2篇。先后到上海455医院,中南大学湘雅附二医院,北京安贞医院进修深造。