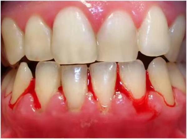
刷牙出血是指患者在刷牙时引起的牙龈出血,那为什么会有刷牙出血的现象呢?我们今天一起来了解一下~

根据导致牙龈出血的疾病类型,一般可以分为如下两类:一、口腔疾病所导致的刷牙出血:常见如牙龈炎、牙周炎等,均可在刷牙时导致出血。二、全身性疾病或内分泌因素导致的刷牙出血:血液系统疾病可导致刷牙出血。如白血病、血小板减少性紫癜、血友病等,均可有刷牙时出血的表现;青春期、妊娠期由于内分泌因素引起已有的牙龈炎、牙周炎加重也可有出血等。

青春期时由于雌激素和睾丸激素增高,牙龈对牙面存在的菌斑刺激反应往往加重,刷牙时容易出血,加之这一阶段的青少年一般口腔卫生习惯不好,更易造成菌斑的滞留,加重牙龈炎症。因此,对于青少年有刷牙出血时,应建立和加强良好的口腔卫生习惯,并应在检查出有牙龈炎时及时进行治疗。
孕妇刷牙出血主要原因是孕期体内女性激素水平升高,原有的牙龈炎症加重,牙龈红肿或呈龈瘤样,刷牙时极易出血,一般在孕期结束这类症状会减轻。孕妇应在备孕期前进行口腔检查,早发现早治疗,孕期后也应检查牙龈炎症,必要时进行治疗。
小儿刷牙时出血一般是因为牙龈有炎症,也可能有牙刷选择较硬或者刷牙力度太大导致,如果牙龈有炎症,家长需要带患儿到口腔科检查以确定病因进行治疗,并由家长帮助小儿刷牙,正确清洁牙面菌斑,控制牙龈炎症;同时,选择儿童专用软毛牙刷,把握好刷牙力度,避免因过度用力导致牙周受损出血。
总之,不要忽视刷牙出血,有刷牙出血症状应先排除血液系统疾病,然后到口腔科就诊。
专家简介
韦进,口腔科主任,副主任医师,本科学历。擅长口腔颌面外科各种手术以及种植牙修复,研究方向为无痛微创口腔外科。曾获得中华慈善总会颁发“突出贡献天使奖”,发表医学论文多篇。曾到广西医科大学附属口腔医院以及广西区人民医院进修学习。
任峥,口腔科副主任,主治医师,研究生班学历。具有扎实的理论基础,熟练掌握口腔常见病的诊断和治疗,擅长舒适化治疗,儿童口腔预防保健,牙体牙髓,牙列缺损的诊治与修复。现任中华口腔医学会广西分会会员。曾在北京空军总医院进修学习。
(文字来源/口腔科 莫淑燕)