我院关节外科/运动医学科赵良军副院长、覃刚主任团队成功开展了桂中地区首例人工全膝关节表面置换术后感染一期翻修手术治疗,标志着我院人工关节置换术后感染(Periprosthetic Joint Infection,PJI)诊治水平迈入省内领先行列,实现了人工关节置换术后感染治疗领域新的突破,造福桂中地区广大市民。

关节外科团队手术中
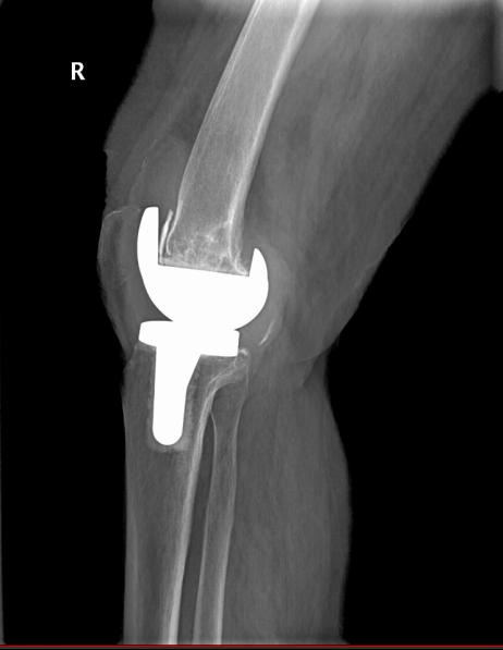
8年前刘奶奶在外院行双膝人工关节表面置换术,术后恢复良好,近2年来反复出现右膝关节疼痛,多次在柳州各大医院门诊及住院诊治,在药物治疗的干预下膝关节疼痛、肿胀时好时坏,来我院门诊诊断右膝关节置换术后感染、假体松动,入住我院关节外科/运动医学科。

图1 X线

图2 X线
经与患者及家属反复沟通后,建议手术治疗,关节外科专家团队告知患者及家属关于右膝关节置换术后感染的相关治疗方案,患者及家属坚定地说:“如果一次性手术解决关节感染和假体松动等两个棘手问题,那肯定是选择一期翻修,毕竟谁也不愿意多做一次手术,遭受更长时间的病痛折磨。”
关节外科/运动医学科赵良军副院长、覃刚主任手术团队联合手术室、检验科及临床药学部等MDT团队为患者制定了周密的治疗方案,术前相关检查无明显手术禁忌症,在全麻下顺利完成右侧人工全膝关节表面置换术后感染清创、假体取出、新的假体按装等一期翻修手术。该手术在我院的成功开展,为髋膝关节置换术后感染患者提供了一套新的手术治疗方案。


图 3、4 术前、术中关节液检查

图5 术后

图6 术后
【科普知识】
关节置换术后感染是人工关节置换手术中的一种较为严重且复杂的并发症之一,在临床上常常称其为灾难性后果,严重影响患者生活质量,且治疗难度极大,目前的治疗手段主要包括病灶清理、原假体取出、抗生素使用及新假体再次安装等环节,其手术目的只有两个:控制感染和假体翻修,目前国内大部分采用的治疗方案是分两次手术进行,第一次手术取出原来的假体、控制感染,应用抗生素控制感染3-6个月,评估病情稳定,再进行第二次手术、安装新的假体;目前我院新开展的关节置换术后感染一期翻修是通过一次手术解决关节感染和新假体安装等两个问题,由于治疗难度大,给临床提出了更高的要求,医院组织了关节外科、手术室、检验科、临床药学科、院感科及康复科等多学科联动、合作,共同制定了术前、术中及术后相关抗感染、康复等治疗,共同应对挑战,关节置换术后感染一期翻修手术要求医院综合医疗技术水平高、治疗难度大。
【关节外科/运动医学】
医院骨科中心分为关节外科/运动医学、创伤骨科、脊柱外科三个病区,学科人才梯队合理,技术力量雄厚,其中主任医师5名、副主任医师3名、主治医师7名,医学博士2名、医学硕士7名。

赵良军(关节外科/运动医学)
骨科学科带头人、医院副院长,医学博士、博士后、主任医师、硕士研究生导师,曾任广西医科大学第一附属医院骨科教授、主任医师,广西科技大学高层次人才引进,现任广西壮族自治区医疗保障局专家库专家、自治区劳动能力鉴定委员会专家、南宁市医学会医学鉴定委员会专家;现任中国人口文化促进会运动损伤委员会委员、广西医师协会创伤与矫形骨科医师分会委员;主持广西自然科学基金等省厅级课题4项,参与国家自然科学基金等省部级课题5项;以第一或通讯作者发表SCI及中华系列等学术论文20余篇。

覃刚(关节外科/创伤骨科)
关节外科/创伤骨科主任,主任医师,广西医师协会骨科医师分会委员,广西医学会运动医疗分会委员、广西医学会骨质疏松和骨矿业疾病分会委员,柳州市医学会运动医疗分会副主任委员。德国北威州菲尔森骨科医院访问学者,在解放军总医院、上海市第六人民医院进修骨科及运动医学。获广西医药卫生适宜技术推广奖三等奖,主持并完成卫健委科研课题1项,发表SCI论文2篇。

罗三彤(关节外科/运动医学)
关节外科/运动医学科主任医师,广西中西医结合学会骨科分会委员;广西预防医学会第一届伤害预防控制与救治专业委员会委员;柳州市医学会运动医疗学分会委员;柳州市医学会中西医结合骨科分会委员;柳州市预防医学会第一届骨伤病中医防治专业委员会委员。曾到在北京解放军总医院、北京积水潭医院等地进修骨科及运动医学。主持或参与市厅级以上课题2项,发表高水平学术论文3篇。
关节外科、运动医学以“微创技术,快速康复”为目标,专注四肢关节疾病的诊治与膝踝关节韧带损伤的功能修复。
特色技术:
(1)人工关节置换及翻修术:熟练开展人工髋、膝关节置换及翻修、膝关节单髁置换、踝关节表面置换,特别是微创全髋关节置换术(DAA),显著缩短患者住院时间,提高术后生活质量。
(2)关节镜修复技术:膝关节交叉韧带重建、半月板缝合、肩袖破裂修补、肩关节脱位修复、踝关节韧带修补、踝关节软骨损伤修复等手术,特别是LARS人工韧带修复膝踝韧带损伤,具有创伤小、恢复快的优点。图文来源:骨科一病区 龙运涛